Global Dermatology Grand Rounds:
Case of the Month: July 1995
submitted by Dr. Rhett Drugge

September 1996

 

 

August 1996

June 1996

May 1996

April 1996

July 1995

June 1995

May 1995

February 1995

 January 1995

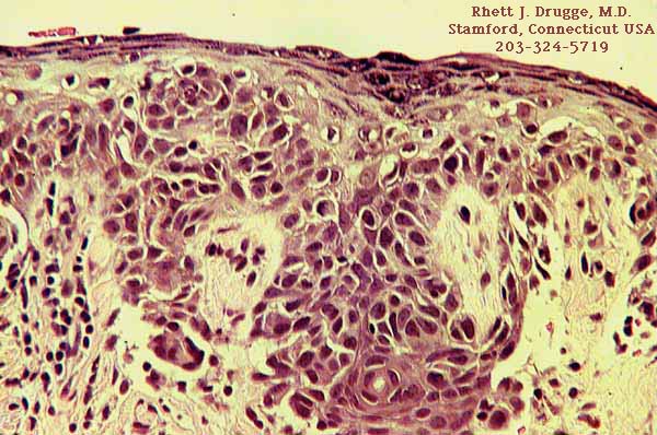
CASE HISTORY: This 82 year old patient presents with a history of an irregular nevus on the right scalp for several months.

Click on the individual images for magnification.

Physical Examination: a 14 mm assymetrical brown and tan macule on the right parietal scalp.

Microscopic Findings: The epidermis is expanded in a lentiginous and reticulate pattern by a population of atypical nevomelanocytic cells. Percolation of this population to the upper epidermis is present, while others cluster to form poorly organized theques.

EMAIL your diagnosis to the Internet Dermatology Society.


If you have a challenging case, please send relevant case materials to one of the following addresses:

If you mail in your case, please include the appropriate clinical and pathology slides to be scanned in.

Global Dermatology Grand Rounds
Rhett J. Drugge, M.D., Founding Editor
50 Glenbrook Road
Stamford, CT 06902 USA
Phone: (203) 324-5719

If you email your case, please include compressed jpeg or gif images to: rdrugge[AT_SIGN_HERE]telemedicine.org.


Thanks for your participation!