Home > Electronic Textbook > Carcinogenesis

 

 

SKIN CARCINOGENESIS AND PHOTODERMATOSES

Rhett J. Drugge, MD

Photodamage

Radiodermatitis

Advanced Photodamage

Actinic Keratosis

Genetic Radiosensitivity

Acquired Radiosensitivity

Non-Malignant Skin Tumors

Basal Cell Carcinoma

Squamous Cell Carcinoma

Malignant Melanoma

 

Photodamage

Photodamage is caused primarily by UV-B and UV-A radiation from the sun. The relationship between UV radiation and Skin Cancer , The role of free radicals . The UV Index provides a forecast of your likely UV exposureat noon. This forecast can help you determine what level SPF sunscreen will best protect your skin. The forecast is based on a scale of 1 (low) to 15 (high). Here is an explanation of how the UV Index works.

Forecast for 30 U.S. Cities
The United States Environmental Protection Agency recently began issuing a daily UV FORECAST for 30 metropolitan areas around the country.


 

Non-Cancerous findings associated with radiation damage:

  • RadioDermatitis: Clinical Photos, chest, post mastectomy,(1) , hand, occupational exposure, (2) , cheek, post SCC (3) , neck, post SCC, (4)
  • Typical signs of telangiectasia, atrophy, erythema, hyperkeratosis and occasionally pain are present. The border is diffuse and blends in with surrounding tissue. If the lesion is ulcerated, there may be deep fibrosis and adherence to underlying structures. Treatment is antibiotic ointment and perhaps systemic antibiotics. If all else fails, skin grafting is required. Malignancies occasionally arise de novo, but are more likely to represent recurrences of previously treated lesions.

Advanced Photodamage in a Normal Host

  • Solar Elastosis EM . This is a disease of dermal sun damage which is irreversible.
  • Severe Actinic Damage (Photo forearms )
  • Colloid Milium. -- This is seen in the South and Southwest in sun-exposed fair-skinned individuals and is more or less irreversible.
    Suggestions or comments for the editor:

    Actinic Keratosis

    Actinic Keratosis , LM . -- Five percent 5-FU in hydrophilic petrolatum, rubbed in twice a day for 3 to 4 weeks, or 1% 5-FU in propylene glycol is an effective way of controlling these things. It does a wonderful job, but the irritation response has to be watched closely. Roche has a commercial preparation (Efudex). If it is used on lip keratosis, where it is equally effective, prepare your patient for a horrendous reaction.

    Seborrheic dermatitis and sun exposure coincidentally produce intensification of the response so that seasonal limitations are wise. Bowen's disease of the face does respond to treatment, (LM) although the condition of tone patient with hand involvement failed to clear completely after many months of treatment. The duration of treatment on the hands and forearms should be at least 6 week; it is worthy of trial in treating erythroplasia of Queyrat or extramammary paget's disease (case report ). The iceberg effect of ending up with a more extensive response than expected should be explained ahead of time. The propylene glycol tends to dry the area, so bland emollients or steroid and emollient for nightly use are helpful. Lotion makeup to cover in the daytime helps women. Liquid nitrogen applied for 15-25 seconds is pleasanter and faster. If 0.5% triamcinolone acetonide is used with the fluorouracil, the inflammatory reaction is considerably lessened and the therapeutic result is the same.(ref ) On occasion telangiectasia may be an annoying side effect of this combination, however. Better to avoid the fluorinated steroids here and use plain hydrocortisone emollients.

    Genetic Radiosensitivity

    Xeroderma Pigmentosum. Clinical (1 , 2 , 3 , 4 , 5 , 6 ) This disease is marked by accelerated actinic damage leading to early metastatic disease. It can be helped with 5-FU treatment and sun avoidance. Poikilodermatous changes presage the development of skin cancer (keratoacanthomas, basal cell (LM), squamous cell and malignant melanoma (OMIM , (2 )).

    Cockayne's Syndrome. --The key features of this autosomal recessive disease are features of dwarfism and mental retardation, sun sensitivity(OMIM ).

    DeSanctis-Cacchione syndrome-cutaneous photosensitivity and central nervous system dysfunction are the key findings.

    Bloom's Syndrome. -- Bloom syndrome is an autosomal recessive disorder characterized by proportionate pre- and postnatal growth deficiency; sun-sensitive skin (leading to poikiloderma); predisposition to malignancy; and chromosomal instability. Diabetes mellitus of insulin resistance, developing in the second or third decade is a frequent feature (OMIM ).

    PIBI(D)S. photosensitivity (P), ichthyosis (I), brittle hair (B),impaired intelligence (I), possibly decreased fertility (D), and short stature (S) (OMIM )

    Nevoid Basal Cell Carcinoma Syndrome (Gorlin's Syndrome), (patient advocacy ) The most frequent findings in this autosomal dominant condition are multiple basal cell carcinoma and odontogenic jaw cyst. A substantial proportion (40%) are new mutations (OMIM ).

    Erythropoietic Porphyria.

    Hepatic Porphyrias. -- There are two types: the acute intermittent and the cutanea tarda, clinical (1 , 2 ) . The latter is more commonly seen, producing photosensitivity in the exposed areas, e.g., bullae on the dorsa of the hands, showing pink urine with the Wood's lamp examination. This condition usually is seen in liver damage from barbiturates, contraceptive pills, estrogens, alcohol or diabetes. The treatment is phlebotomy.

    Acquired Radiosensitivity

    Pellagra. -- Pellagra is classically seen in the elderly recluse with poor nutrition and too much alcohol intake. Treatment is nicotinic acid.

    Systemic Lupus Erythematosus. -- Antinuclear antibodies and a positive lupus band test , hematuria, leukopenia and the malar flush in a sick patient with oral ulceration require steroids and antimalarials in combination plus other tender loving care. Periungual telangiectasia may ulcerate. Histopathologic criteria include, epidermal atrophy, follicular hyperkeratosis, thickened basement membrane, vacuolar interface dermatitis, pigmentary incontinence and perivascular mononuclear inflammation. Subacute lupus features identical laboratory findings associated with a light sensitive, polycyclic marginal erythema .

    Discoid Lupus Erythematosus. -- Discoid lupus erythematosus consists of a persistent localized erythema, usually on the face (1 , 2 , 3 ) and with a special predilection for the ears (1 , 2 ) but can occur on the extremities and scalp (1 ), often with adherent scales, patulous follicles with keratin plugs, and usually followed by atrophy. The cause is unknown, but the condition is aggravated or induced by sun. Butterfly lesions are typical (1). Spontaneous cure occurs, often without scars. However, in the scalp the patches usually leave scars that destroy the hair and look like pseudopelade. The erythrocyte sedimentation rate is usually elevated, and there may be leukopenia.

    Treatment

    Local Treatment. -- Steroid aerosol spray given three times a day and then gradually less often; fluorinated cortisone ointment with or without occlusion are partially and often wholly effective in clearing the lesion. Intracutaneous triamcinolone acetonide injection may lead to rapid and lasting control, although monthly retreatment is often necessary. Avoiding the sun with opaque blocks is essential.

    Internal Treatment. -- The antimalarials, introduced after World War II, have markedly suppressive effects. Atabrine, 100 mg tablets, stain the skin yellow. Aralen (Chloroquine), 250-mg tablets, Plaquenil, 200-mg tablets, and Camoquin, are varieties. The most effective treatment is a combination of Chloroquine 65 mg, Atabrine 25 mg, and Plaquenil 50 mg, called Triquin. Dosage varies from six to one daily, usually three times a day initially, dropping to as low a maintenance dose as can be found later. The major side effects of irreversible retinopathy somewhat discourages its free use, although there is probably a dose relationship; if small doses are used for a short time, no great risk is seen. Opacities in the cornea appear to be reversible when the antimalarials are stopped, and other side effects such as nausea, diarrhea, drug rash (often like lichen planus), lightening of the hair and aplastic anemia have to be taken into account.

    Other methods of treatment include gold sodium thiosulfate given intravenously starting at 5 mg and increasing to 50 mg weekly for 6-10 weeks.

    Histopathologic changes are roughly the same for all forms of lupus erythematosus.

    Polymorphic Light Eruption. --

    Non-Malignant Skin Tumors

    Benign Melanocytic Neoplasms
    • There are essentially five kinds of pigmented nevi: (1) the epidermal nevus or lentigo, (2) the junctional nevus at the epidermodermal junction, (3) the dermal nevus in the dermis, (4) the compound nevus, with dermal and junctional elements, with or without hair, and (5) the blue nevus, which is made up of spindle-shaped nevomelanocytes deep in the dermis and which is usually of such a distinct slate-like color that diagnosis is easy.
    • There is arguably a sixth type of pigmented mole, the protuberant polypoid papilloma, which is usually flaccid with a narrow stalk and most often located in the axilla and groin. Often actually a fibroma, this occasionally contains nevus cells and so should be classified with the moles. "Clip and blip" is the proper removal technique.
    • The decision as to which moles should be excised completely, which should be removed with a superficial cosmetically acceptable result, which should be left alone and which should have a small excisional biopsy can be made by physicians only after many years of experience looking at moles and their microscopic tissue. In general, when in doubt, perform a biopsy. If the patient is concerned and if he or she is having any symptoms from a mole, the tissue must be examined microscopically. Trust your clinical judgment; in general it is reliable.
    • From the therapeutic viewpoint, the pigmented moles that are subject to irritation by friction of clothing, or in other ways, can degenerate and become malignant or at least mimic malignancy sufficiently to cloud clinical judgment. These should be removed.
      • Junctional Nevi , These can arise at birth or later; pigmented nevi located on the genitals, palms and soles are usually junctional nevi. If the nevus is smooth, hairless, flat or only slightly raised and light to dark brown, with a "superficial" look to it, it is probably a junctional nevus.
      • Bathing-Trunk Nevi. -- In large hairy moles that have extensive dark pigment with a blackish tint, the danger of the patient experiencing malignant degeneration even before puberty is great. Excision and flap or graft is the method of choice. Andrews has used cryotherapy successfully for inoperable cases.(ref. )
      • Mongolian Spot. -- This is a blue nevus over the sacrum in dark-skinned newborns. It usually fades.
      • Spitz Nevi. --
        C. The Significance & Importance of Dysplastic (Atypical Nevi)

    Non-Melanoma Skin Cancer

    Basal Cell Carcinoma

    , small tumor (2) , large tumor, right cheek (3) , LM, sclerosing pattern , LM, nodular pattern , LM, 20x objective


     

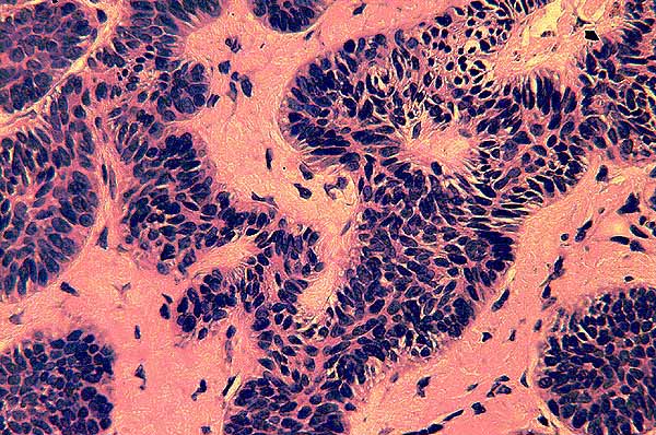
    Squamous Cell Carcinoma

    Lower Lip (1) , (2) , LM Oral SCC (1) (LM, well-differentiated, keratinizing pearls). SCC pr
    On the glabrous skin this presents as a warty fast-growing nodule, usually on the hand, lip, ear or face. This carcinoma has a base that is usually indurated and rounded and may be dusky red or purple. Crusted ulcerations may occur. If left untreated, metastases will occur sooner from tumors at the mucocutaneous junctions. Anaplasia can be severe, especially at sites of radiodermatitis, and rapid removal is imperative.
    Suggestions or comments for the editor:


     

    Melanoma (patient advocacy )

    Screening for malignant melanoma is imperative as the only cure is early detection and removal. The metastatic potential of a melanoma is directly related to it's depth of penetration (Breslow depth). The warning signs of early melanoma are A, asymmetry, B, border irregularity, C, colors, two or more, and D, diameter greater than 6 mm, the approximate size of a pencil eraser.

    • 6 key risk factors influence risk of developing malignant melanoma:(Adopted from Darrell S. Rigel, M.D.)

      1. Red/blond hair
      2. Family history of malignant melanoma
      3. Actinic keratoses
      4. Marked freckling of upper back
      5. 3 or more blistering sunburns prior to age 20
      6. 3 or more years of an outdoor teenage summer job

      With the above model, lifetime risk of malignant melanoma is:

      1% with no factors
      3-4% with 2 factors
      20-25% with 3 or more factors

    The rationale of screening for skin cancer

    Further information on the genetics of melanoma can be reviewed in an excellent monograph (OMIM ).

    Nodular type (LM)

    Superficial Spreading

    Lentigo Maligna , Hutchinson's malignant freckle is usually a slowly enlarging dark brown or black freckle on the cheek of an elderly patient, which microscopically is malignant melanoma, but which clinically runs an essentially benign course for years (up to 25) until eventually invasive malignant melanoma supervenes. It can be cured by complete though superficial removal by any satisfactory method, including electrodesiccation. It occasionally occurs in the scalp, where it may infiltrate and pigment canities (case report).

    Acral Lentiginous Melanoma. -- Such a melanoma should be biopsied and diagnosed early, since cure by amputation of the digit yields a favorable outcome in most cases. Sometimes in a subungual position it is mistaken for a fungus infection. It usually starts as alight brown spot on the lateral nail fold or a vertical brown streak running the length of the nail. When such a change is noted, a nail fold or matrix biopsy is indicated.

 


© 1995-2000 The Internet Dermatology Society, Inc. All rights reserved.
Send your comments to: textbook@telemedicine.org